Фотографії наведені лише для демонстрації. Показані ефекти лікування стосуються цього конкретного пацієнта, і результати лікування можуть відрізнятися залежно від індивідуальних характеристик та стану пацієнта.
Метаморфоза 71

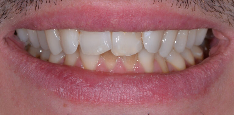
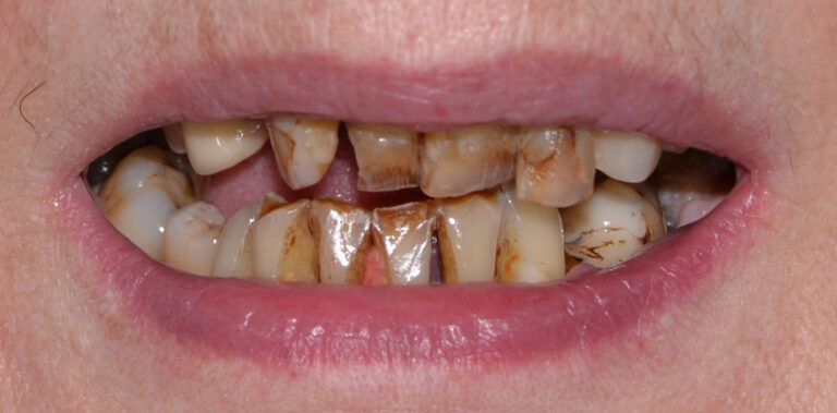
Перед процедурою

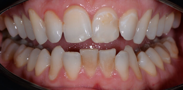
Після процедури
Метаморфоза 72

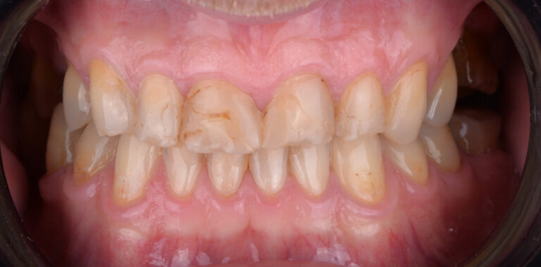
Перед процедурою

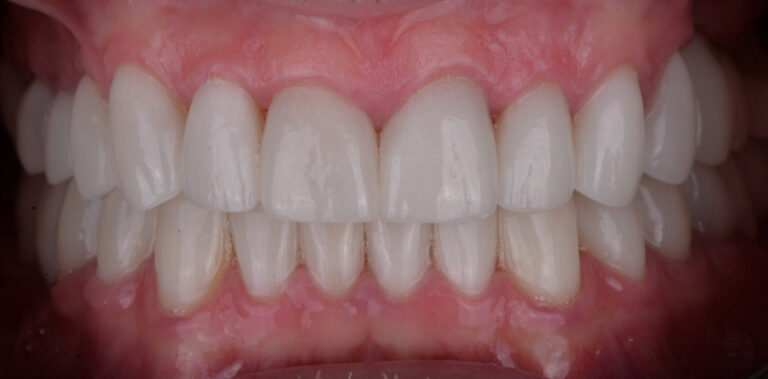
Після процедури
Metamorfoza 73

Перед процедурою

Після процедури
Метаморфоза 74

Перед процедурою

Після процедури
Метаморфоза 75

Перед процедурою

Після процедури
Метаморфоза 76

Перед процедурою

Після процедури
Метаморфоза 77

Перед процедурою

Після процедури
Метаморфоза 78

Перед процедурою

Після процедури
Метаморфоза 79

Перед процедурою

Після процедури
Метаморфоза 80

Перед процедурою

Після процедури


