Фотографії наведені лише для демонстрації. Показані ефекти лікування стосуються цього конкретного пацієнта, і результати лікування можуть відрізнятися залежно від індивідуальних характеристик та стану пацієнта.
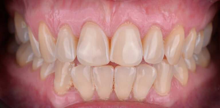
Метаморфоза 21

Перед процедурою

Після процедури
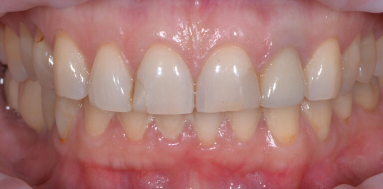
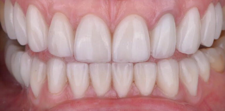
Метаморфоза 22

Перед процедурою

Після процедури
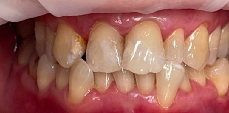
Метаморфоза 23

Перед процедурою

Після процедури
Метаморфоза 24

Перед процедурою

Після процедури
Метаморфоза 25

Перед процедурою

Після процедури
Метаморфоза 26

Перед процедурою

Після процедури
Метаморфоза 27

Перед процедурою

Після процедури
Метаморфоза 28

Перед процедурою

Після процедури
Метаморфоза 29

Перед процедурою

Після процедури
Метаморфоза 30

Перед процедурою

Після процедури


