Фотографії наведені лише для демонстрації. Показані ефекти лікування стосуються цього конкретного пацієнта, і результати лікування можуть відрізнятися залежно від індивідуальних характеристик та стану пацієнта.
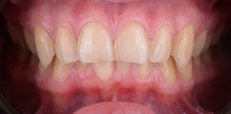
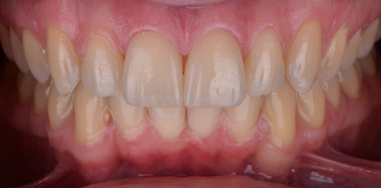
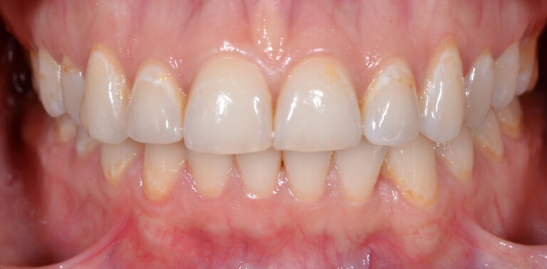
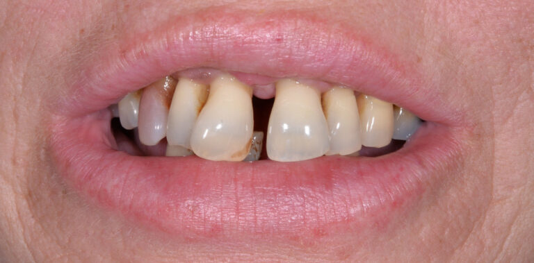
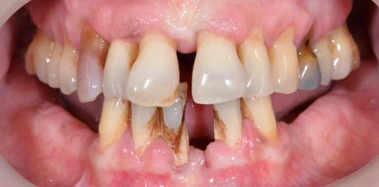
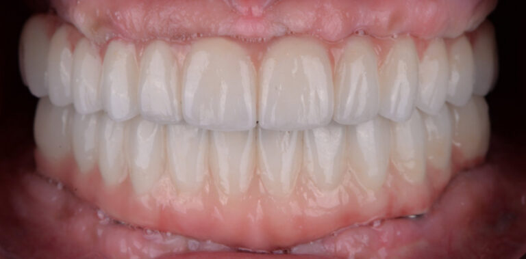
Метаморфоза 1

Перед процедурою

Після процедури
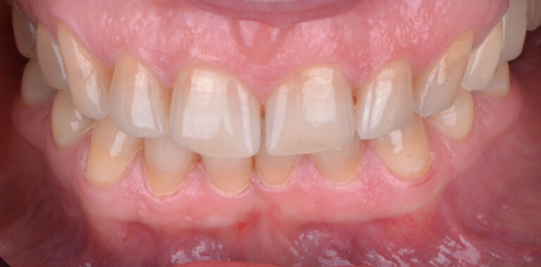
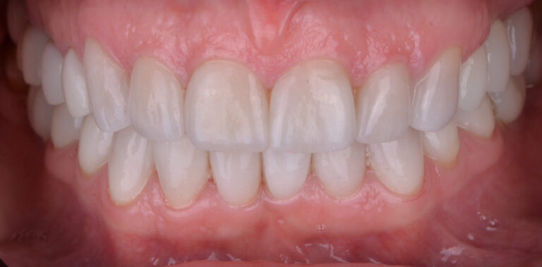
Метаморфоза 2

Перед процедурою

Після процедури
Метаморфоза 3

Перед процедурою

Після процедури
Метаморфоза 4

Перед процедурою

Після процедури
Метаморфоза 5

Перед процедурою

Після процедури
Метаморфоза 6

Перед процедурою

Після процедури
Метаморфоза 7

Перед процедурою

Після процедури
Метаморфоза 8

Перед процедурою

Після процедури
Метаморфоза 9

Перед процедурою

Після процедури
Метаморфоза 10

Перед процедурою

Після процедури


